

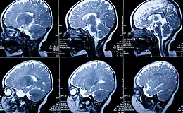
Edinilen bilgiye göre, 2 yaşındaki M.D.İ. adlı kız çocuğu evlerindeki salıncaktan düşerek yaralandı. Özel bir hastaneye kaldırılan M.D.İ. acil serviste tedavi altına alındı. Acil serviste görevli Dr. Ahmet Kurt, çocuğun çekilen tomografisini inceleyeceği sırada çocuğun babası H.İ. ile kardeşi Ş.İ.’nin saldırısına uğradı. Doktorun odasındaki bilgisayar yere düşüp zarar görürken, Dr. Kurt saldırıyı yara almadan atlattı. Hastaneye polis sevk edildi. Ağır yaralı olan çocuğun tomoğrafi filmini incelemek için başka odaya giden Dr. Ahmet Kurt, çocuğun beyin kanaması geçirdiğini tespit edince acil olarak Samsun Ondokuz Mayıs Üniversitesi Tıp Fakültesi Hastanesi’ne sevkine karar verdi. Çocuğu kırmızı odada sedyeye koyan Dr. Kurt, sevk sırasında ambulansta yanında olacak olan çocuğun annesine ne yapması gerektiğini anlattığı sırada çocuğun babası, Dr. Ahmet Kurt’a aniden yumruk atıp bununu kırıp yere düşürdü. Kanlar içinde kalan Dr. Ahmet Kurt, Samsun Eğitim ve Araştırma Hastanesi’ne kaldırılarak tedavi altına alındı. Hastaneye yatışı yapılan doktorun hayati tehlikesinin bulunduğu öğrenildi.Dr. Ahmet Kurt, “Düşme sonucu hastanemize gelen çocuğun filmini incelemek için sisteme düşmesini beklerken babası ve çocuğun amcası bana saldırdı. Kendimi korudum ancak bilgisayar kırıldı, masa dağıldı. Hastaneye polis gelince çocuğun filmini incelemek için başka odaya geçtim. Burada filmi inceleyip beyin kanamasını tespit edip Samsun Ondokuz Mayıs Üniversitesi Tıp Fakültesi Hastanesi’ne sevkine karar verdik. Çocuğun annesine ambulansta ne yapması gerektiğini anlatırken, çocuğun babası yumrukla bana saldırdı” dedi.Olayla ilgili H.İ. ile kardeşi Ş.İ. polis tarafından gözaltına alındı. Olayla ilgili soruşturma devam ediyor.
YAZILAR
3 saat önceYAZILAR
4 saat önceYAZILAR
4 saat önceYAZILAR
4 saat önceYAZILAR
5 saat önceSPOR
6 saat önceSPOR
6 saat önce